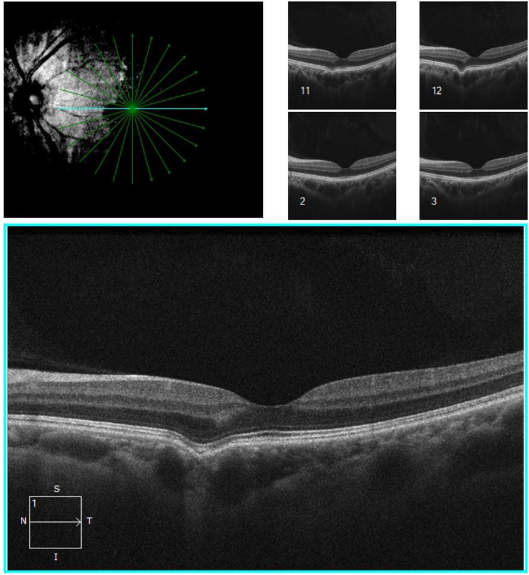
Focal choroidal excavation (FCE)
Close
- Focal choroidal excavation (FCE) refers to a concavity of the choroid (without local scleral changes) that is often incidentally seen on optical coherence tomography (OCT) scans
- FCEs are thought to be congenital. However, the origin of FCE remains a subject of debate and active investigation.
- Most of observed FCEs remain relatively stable over time and are observed; however, some rare associated complications including choroidal neovascularization and serous retinal detachment, have been described.
- More information at Eyewiki page
-
A small focal choroidal excavation in a 35 year old female with moderate myopia. The patient was asymptomatic; BCVA 20/20.
