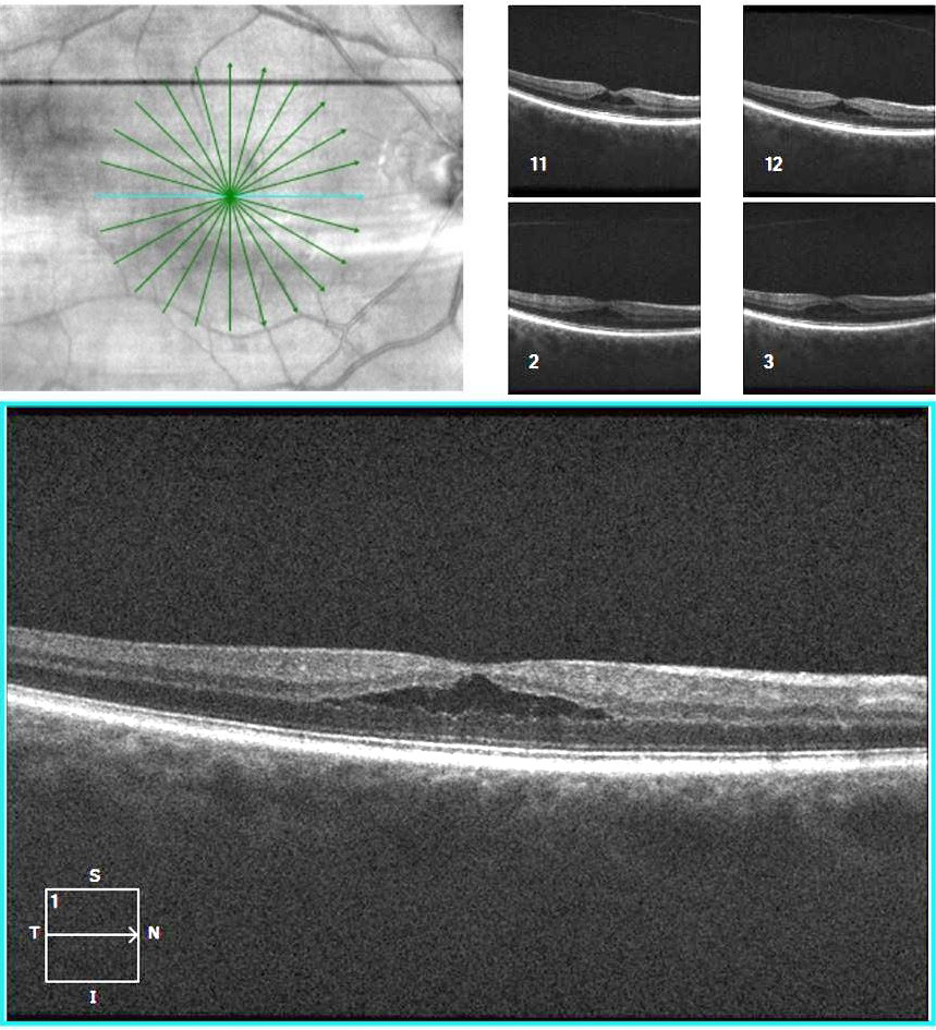
Stellate nonhereditary idiopathic foveomacular retinoschisis (SNIFR) in the Right eye of a 70 year old female patient.
The foveal area demonstrates schitic changes with stellate appearance. There are no overlying epiretinal membrane or posteior hyaloid that would otherwise explain these changes.
Most patients with SNIFR are female (94%), myopic (72%) and have unilateral presentation (70%). Vitreomacular adhesion (VMA) is present in 86% of cases and when the vitreous releases spontaneous improvement may occur.
FA does not show leakage. Treatment usually involves monitoring, however some practitionaers have tried topical dorzolamide drops.
Reference: M. Ober, K. Freund, M. Shah, et al. Stellate nonhereditary idiopathic foveomacular retinoschisis Ophthalmology, 121 (7) (2014), pp. 1406-1413
    Link